A beloved pet cat had his life saved by vets after undergoing a rare operation to remove part of his skull to extract a pea-sized brain tumor.
Lucky Biscuit used up one of his nine lives after he was taken to Vets for Pets for treatment for a suspected allergic reaction.
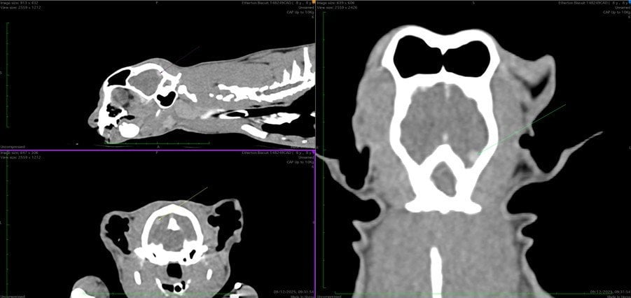
A CT scan showed Biscuit had swelling on his larynx and a 1cm lesion on the brain, which turned out to be a feline meningioma.
The eight-year-old then underwent an intricate one-hour procedure to extract the mass, during which part of his skull was removed.
The craniotomy left the poor puss with a comically shaved head but more importantly, the operation proved a success.
Incredibly, Biscuit was up on his feet, eating and asking for head rubs that same day, with only a slight wobble in his step.
(Pets as Home via SWNS)
By Talker
Experts said the rare procedure, which required 3D mapping Biscuit's brain, was like "removing a pea from a tennis ball".
Owner Jez Etherton branded it a "miracle" that his pet moggy was saved.
Dr. Peter Richards, practice owner and leading neurosurgeon at Vets for Pets in Barnsley, South Yorks., said: “Luckily Biscuit’s tumour was identified early, which gave us a real opportunity to help him.
"The procedure needed careful planning and a steady hand, but he recovered exceptionally well and regained his confidence quickly.
"Based on the outcome, we expect him to enjoy his full life expectancy with no lasting impact from the tumor.”
The moggy was taken to his local vets by owner Jez after he had been displaying some symptoms of breathing difficulties.
The vets said finding the tumour this early was "extremely lucky" for Biscuit as it was currently causing no obvious issues.
(Pets as Home via SWNS)
By Talker
A spokesperson for the vets added: "Though normally benign, once symptoms start to show, treatment is usually too late.
"It was a serious stroke of fate, Biscuit and Jez were in the right place at the right time. "
Barnsley Vets for Pets are one of very few veterinary practices in the UK able to perform the surgery that saved Biscuit’s life.
This intricate operation lasted just over an hour, followed by around-the-clock monitoring for two days straight.
Two weeks later Biscuit is now back to his old self.
Jez said: “The moment they told me Biscuit had a brain tumor was awful.
"There were so many risks to consider, but the team at Barnsley Vets for Pets explained everything clearly and supported us
from the start.
"Their expertise and care meant the world, and seeing Biscuit happy and healthy again feels like a miracle.”
Commented